正大牙醫診所
預約:03-3355226 線上預約
  • 診所介紹
  • 醫療團隊
  • 醫療項目
    • 一般牙科
    • 微創植牙
    • 水雷射植牙
    • 隱形矯正
    • 齒顎矯正
    • 兒童牙醫
    • 牙齒美學
    • 顯微根管治療
    • 顯微水雷射牙周病治療
  • 專業設備
  • 成功案例
    • 水雷射牙周治療案例
    • 鼻竇增高術案例
    • 顯微根管治療案例
    • 噴砂美白案例
    • 陶瓷嵌體3D齒雕案例
    • 骨脊保存術案例
  • 最新消息
線上預約
  • 診所介紹
  • 醫療團隊
  • 醫療項目
    • 一般牙科
    • 微創植牙
    • 水雷射植牙
    • 隱形矯正
    • 齒顎矯正
    • 兒童牙醫
    • 牙齒美學
    • 顯微根管治療
    • 顯微水雷射牙周病治療
  • 專業設備
  • 成功案例
    • 水雷射牙周治療案例
    • 鼻竇增高術案例
    • 顯微根管治療案例
    • 噴砂美白案例
    • 陶瓷嵌體3D齒雕案例
    • 骨脊保存術案例
  • 最新消息

顯微根管治療案例

首頁 / 成功案例 / 顯微根管治療案例
顯微鏡下輔助檢查-牙齒裂痕檢查

顯微鏡下輔助檢查-牙齒裂痕檢查

了解更多
顯微根管再治療-根尖發炎案例

顯微根管再治療-根尖發炎案例

了解更多
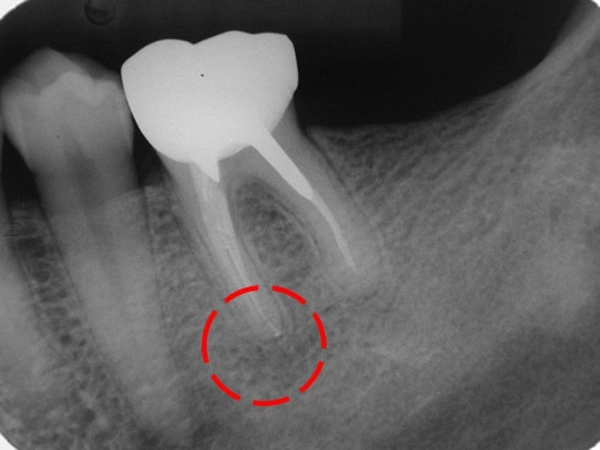
顯微根管-根尖區病變案例

顯微根管-根尖區病變案例

了解更多
顯微根管-根管鈣化案例

顯微根管-根管鈣化案例

了解更多
  • 330桃園市桃園區中正路446號
  • @kwd3008d
  • 03-3355226
 一二三四五六日
早上 09:00~12:00●●●●●●●
下午 14:00~17:00●●●●●●●
晚上 18:00~21:00●●●●●●●
  • Designed by GTUT
  • 網站地圖
  • 管理 Cookies
  • 本站最佳瀏覽環境請使用 Google Chrome、Firefox 或 Edge 以上版本
  • 本網站禁止任何網際網路服務業者擷取或轉載內容