預約:03-3355226
線上預約
診所介紹
醫療團隊
醫療項目
一般牙科
微創植牙
水雷射植牙
隱形矯正
齒顎矯正
兒童牙醫
牙齒美學
顯微根管治療
顯微水雷射牙周病治療
專業設備
成功案例
水雷射牙周治療案例
鼻竇增高術案例
顯微根管治療案例
噴砂美白案例
陶瓷嵌體3D齒雕案例
骨脊保存術案例
最新消息
線上預約
診所介紹
醫療團隊
醫療項目
+
–
一般牙科
微創植牙
水雷射植牙
隱形矯正
齒顎矯正
兒童牙醫
牙齒美學
顯微根管治療
顯微水雷射牙周病治療
專業設備
成功案例
+
–
水雷射牙周治療案例
鼻竇增高術案例
顯微根管治療案例
噴砂美白案例
陶瓷嵌體3D齒雕案例
骨脊保存術案例
最新消息
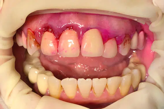
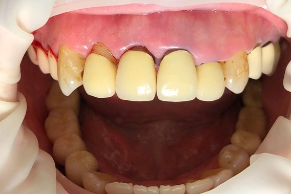
水雷射牙周治療案例
首頁
/
成功案例
/
水雷射牙周治療案例
治療前
治療後
牙齦發炎腫大易流血恢復健康的牙齦
分享到